Es la corona o estructura dental que se conecta con el implante con un tornillo y tiene la indicación de restaurar la función y estética del paciente.
Implante dental

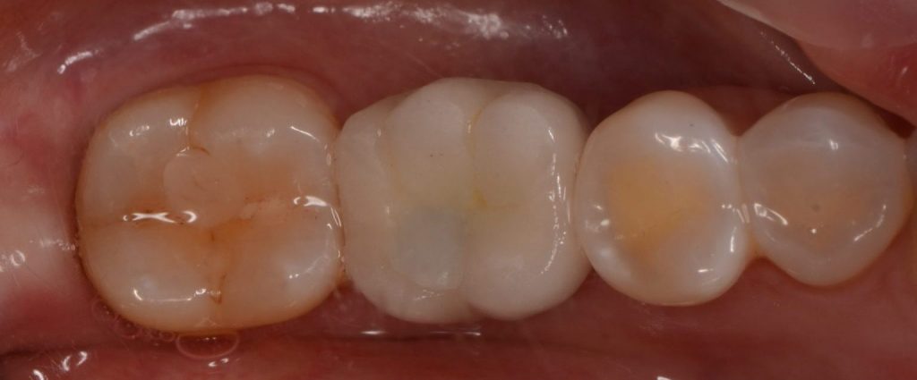
Corona sobre implante

Es la corona o estructura dental que se conecta con el implante con un tornillo y tiene la indicación de restaurar la función y estética del paciente.

