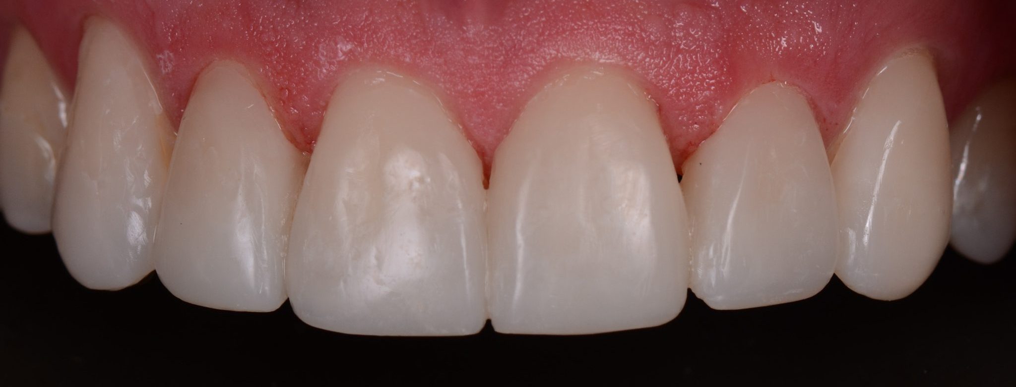
Son capas delgadas de resina que se colocan en la parte frontal de los dientes en la misma cita odontológica, mejorado la forma y el color dental. A diferencia de las carillas en cerámicas, la resina debe tener un mantenimiento mas frecuente ya que se pigmentan y cambian su color inicial con el tiempo. Su duración en boca oscila entre 5-6 años y esto va a depender de los hábitos alimenticios y de higiene de cada paciente.

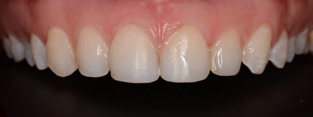
Antes

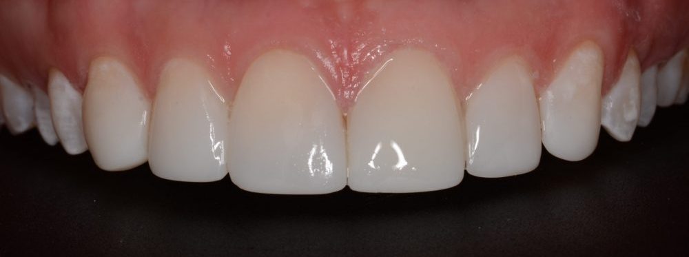
Después




